Skip to main content

GC CERASMART


La première céramique dentaire hybride flexible.

Ce nouveau concept garantit pour la première fois non seulement une élasticité particulière mais aussi une résistance mécanique très élevée après collage.

CERASMART bénéficie d'une technologie de charges ultrafines et dispersées de façon homogène dans la matrice.

Grâce à sa grande translucidité, il est possible d’obtenir un jeu de couleurs très naturel.

Deux degrés de translucidité sont disponibles pour les teintes A1, A2, A3, A3.5, B1, Bleach.

Avantages :

Résistance mécanique élevée

Haute résilience

Résultats très naturels grâce à sa translucidité

GC CERASMART est particulièrement indiqué pour réaliser des couronnes, inlays et onlays surtout en secteur postérieur.

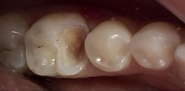
Avant
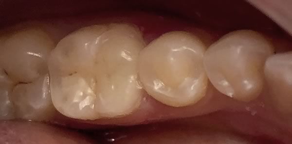
Après
Conception CFAO