IPS E.max
IPS e.max Press est une vitrocéramique innovante au disilicate de lithium pour la technique de pressée.Elle est particulièrement appréciée pour ses caractéristiques de biocompatibilité ainsi qu'esthétiques.
L’IPS e.max Press permet des réalisations résistantes et hautement esthétiques de part sa translucidité et sa luminosité, idéal pour :
Couronnes unitaires, facettes, inlay / onlay, bridge de 3 éléments maximun
Avec ou sans stratification




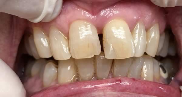
Avant

Après (IPS e.max stratifié sur 11 et 21)

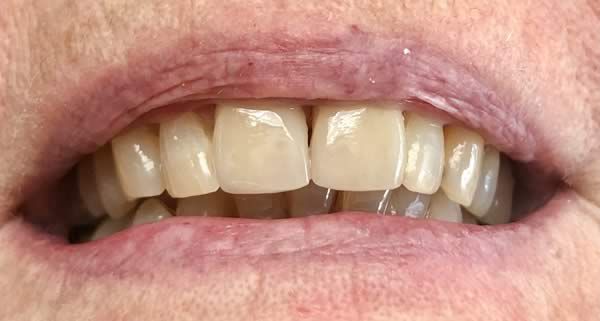
Avant

Après (IPS e.max stratifié sur 21)