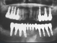
Travaux sur Implants
Pour vos restaurations implantaires, nous sommes à votre disposition pour vous conseiller, commander et recevoir le type d’implant adéquat pour votre cas prothétique.
Nous maîtrisons tous les types d’implants :
Biomet 3i Encode, Biomet 3i Cam StructSURE, Simeda, Atlantis / Astra Tech, Anthogyr, Keystone, Ankylos, Nobel, Straumann, etc.
Les systèmes Biomet 3i Encode et Cam StructSURE ainsi que Simeda permettent un ajustement et une réalisation sur mesure de votre pillier implantaire.
En fonction des cas et des indications, divers matériaux sont disponibles pour les pilliers implantaires : titane, zircone blanche, zircone teintée, etc…
Nous vous proposons des réalisations scéllées, transvissées, transvissées-collées, unitaire ou en bridge, que ce soit tout céramique :


ou en céramo-métallique :







